This could be you →
Smiles we've helped shape.

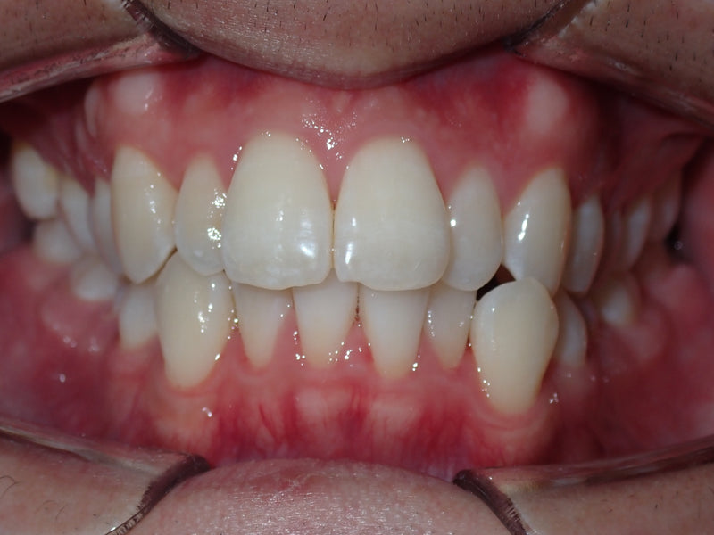
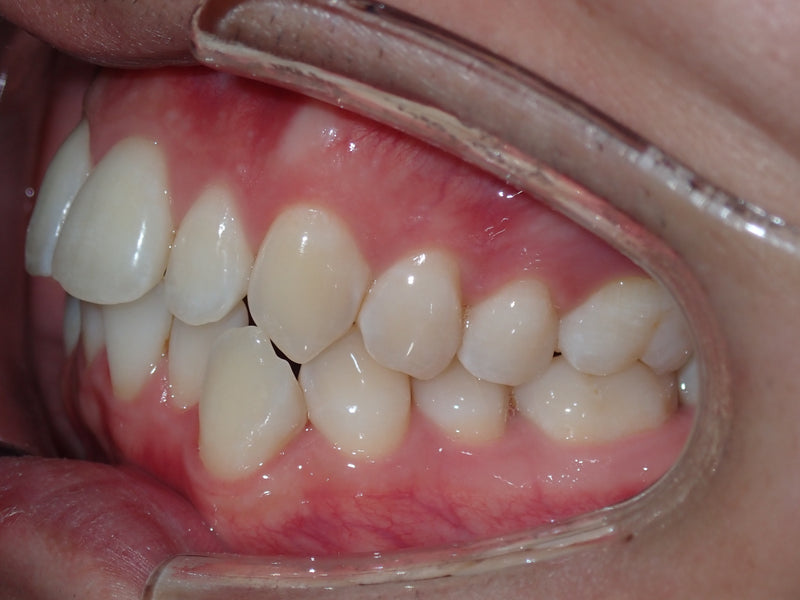
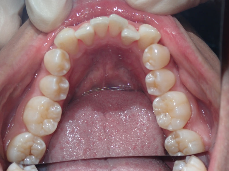
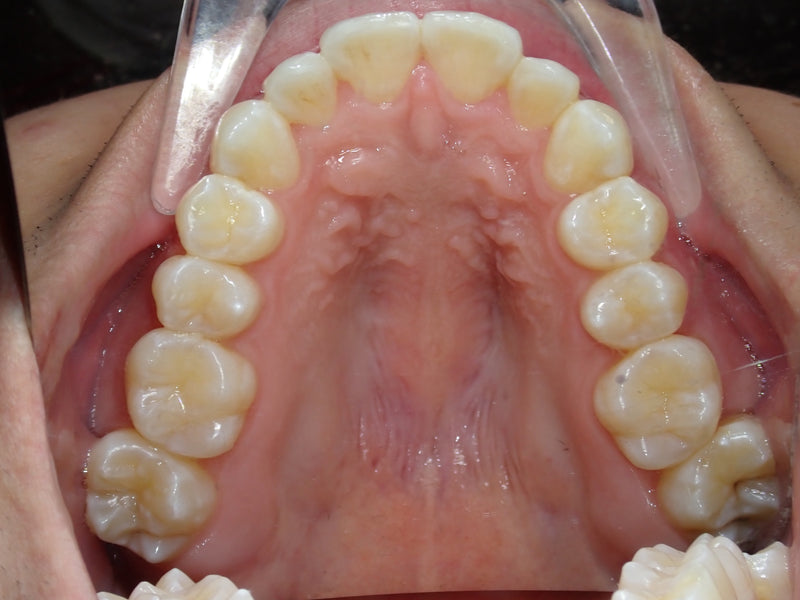
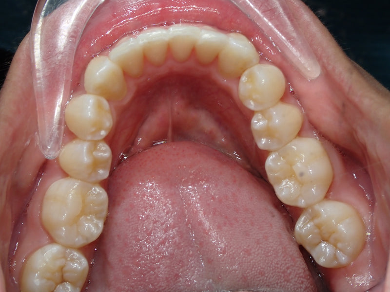
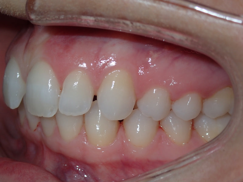
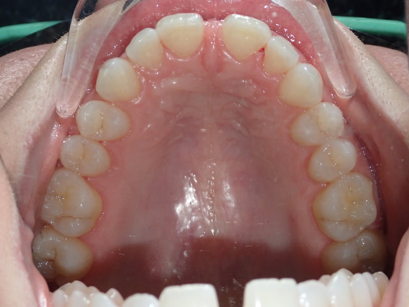
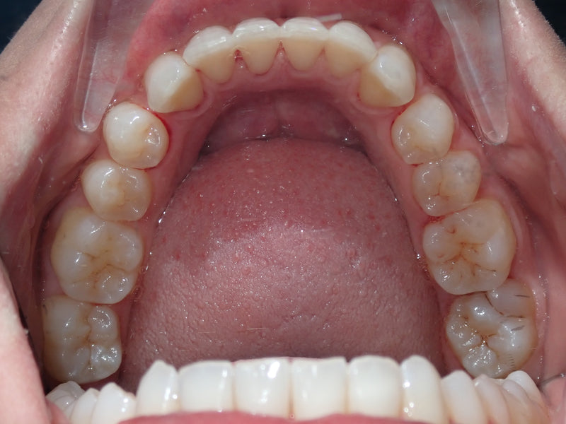
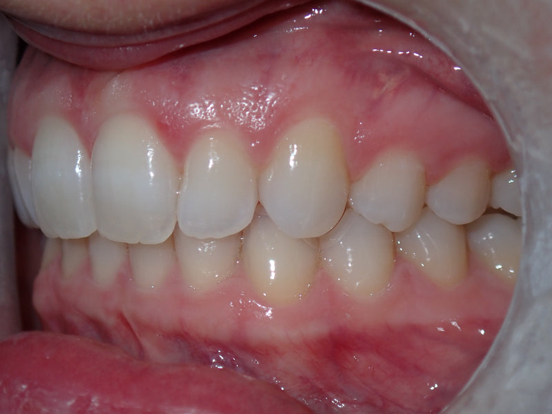
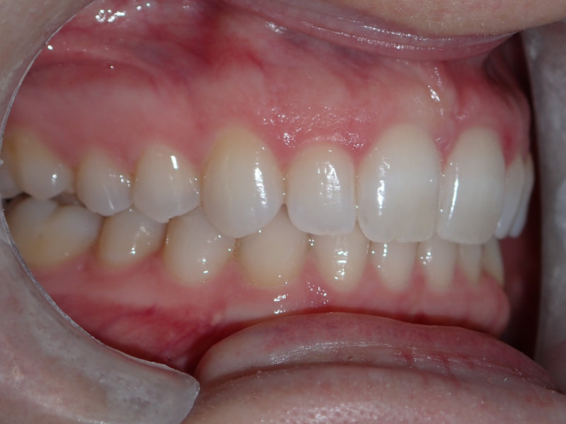
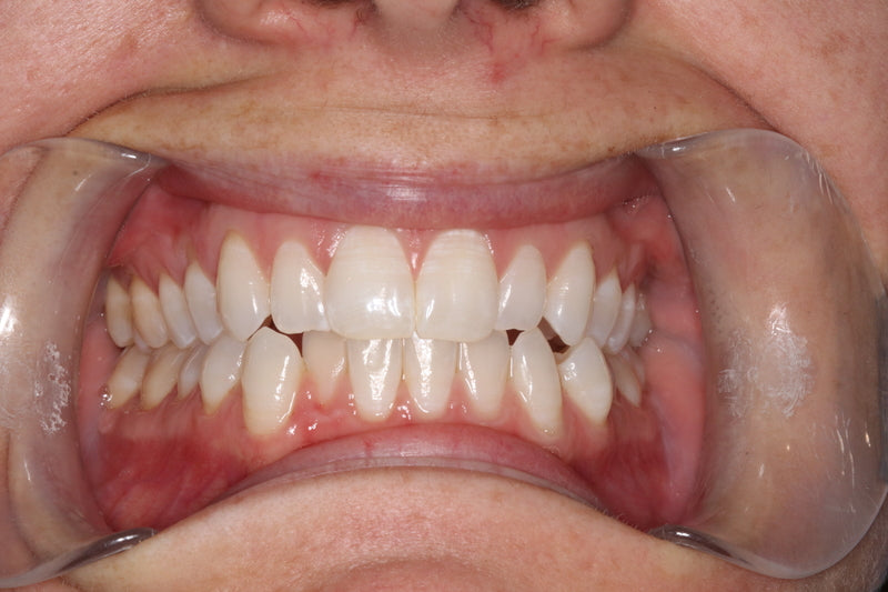
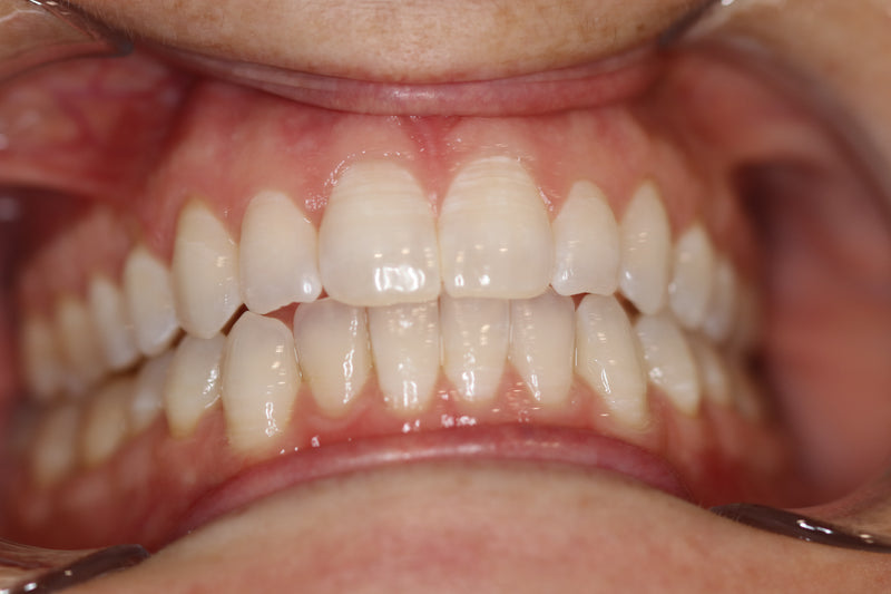
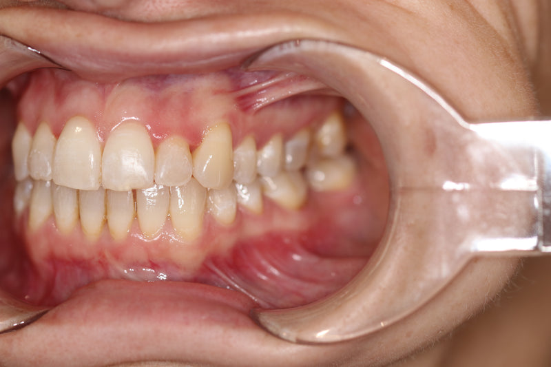
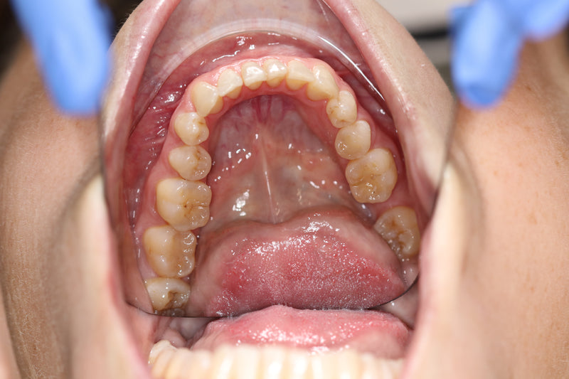
Misalignment: Crowding
Before
After“Getting clear aligners has been one of the best decisions I've ever made. Not only has my smile transformed, but so has my confidence.”










Age:
28
Diagnosis:
Moderate Crowding
Timeline:
11 months
Attachments:
Yes
IPR:
Yes
Type:
3 Appointments + Fully Remote Monitoring
Refinements:
No
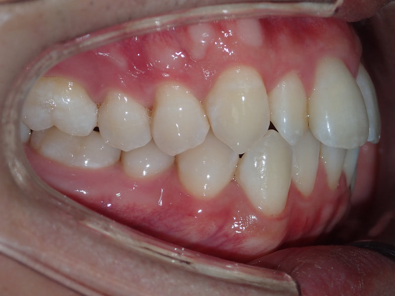
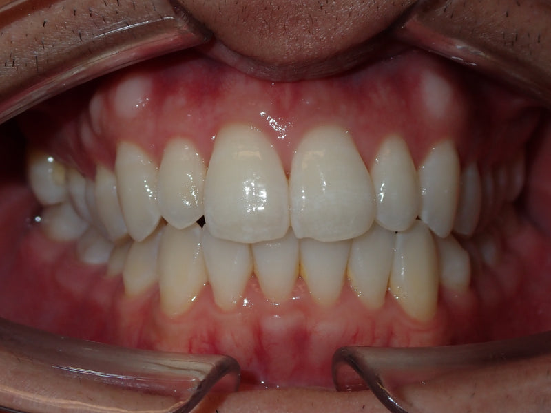
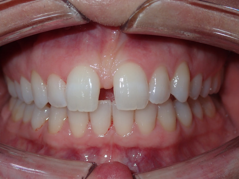
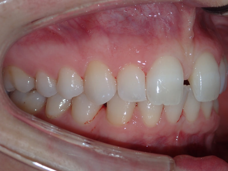
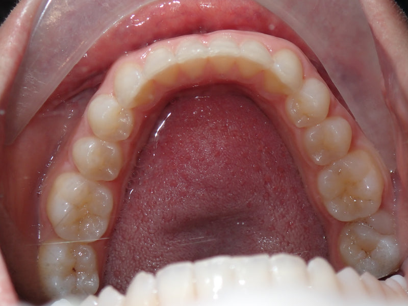
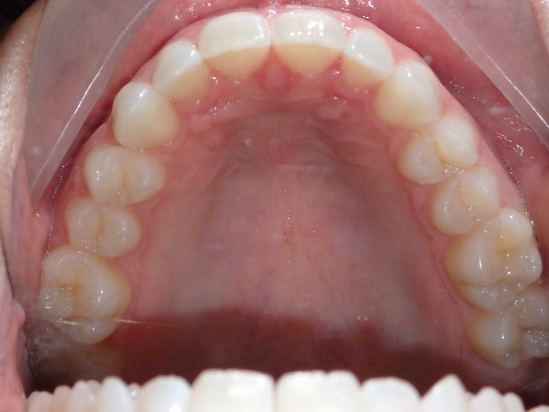
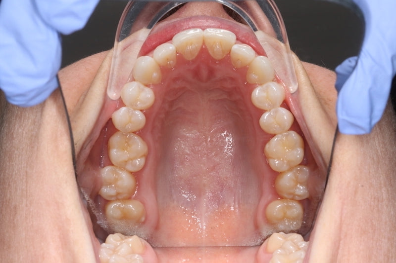
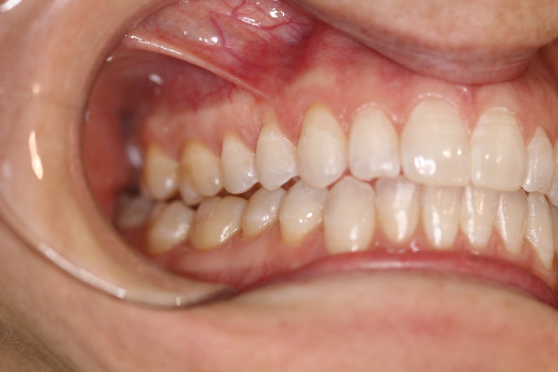
Misalignment: Spacing
Before
After“Starting my aligner journey was truly life-changing. I never expected such amazing results, and now I smile with complete confidence every single day.”










Age:
37
Diagnosis:
Spacing
Treatment Length:
8 months
Attachments:
Yes
IPR:
Yes
Type:
3 Appointments + Fully Remote Monitoring
Refinements:
No
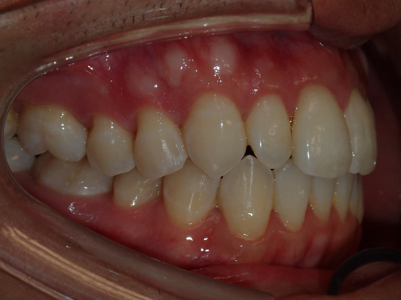
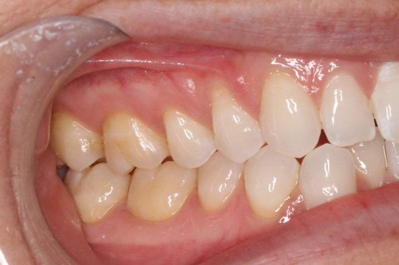
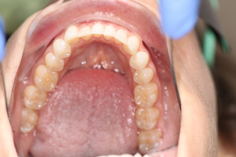
Misalignment: Crowding
Before
After“I’m so glad I chose clear aligners when I did. The process was simple, the results were stunning, and I feel like myself again when I smile.”










Age:
33
Diagnosis:
Crowding
Treatment Length:
9 months
Attachments:
Yes
IPR:
Yes
Type:
3 Appointments + Fully Remote Monitoring
Refinements:
No
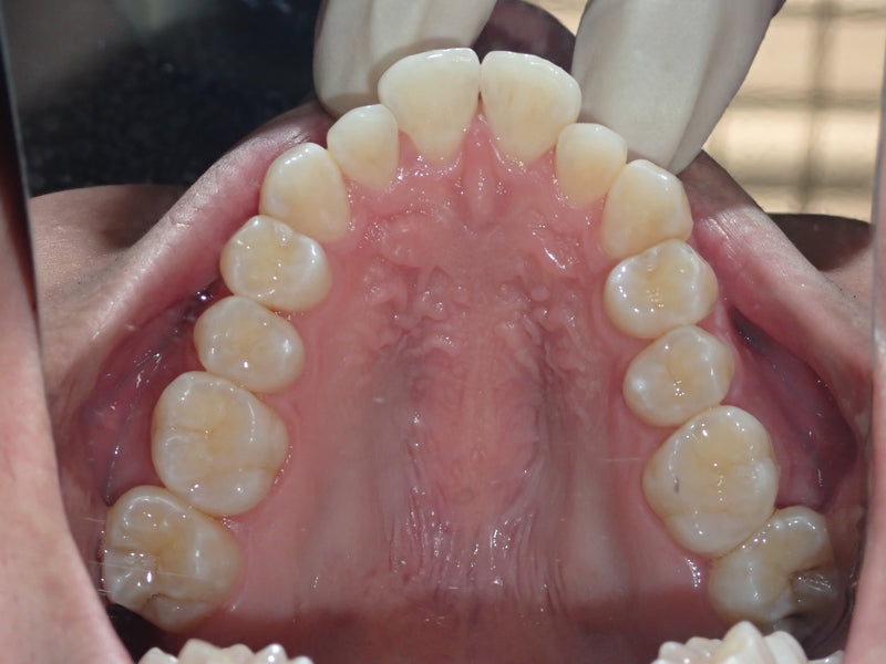
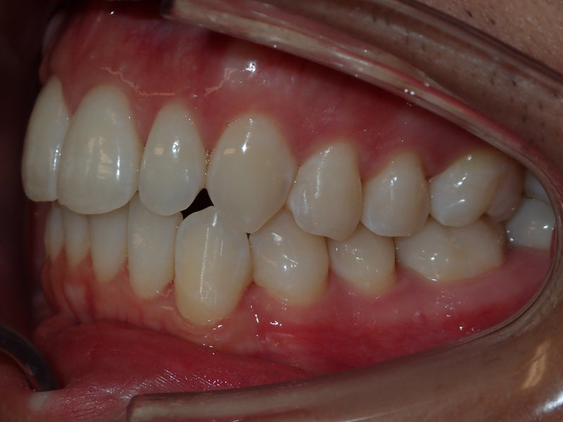
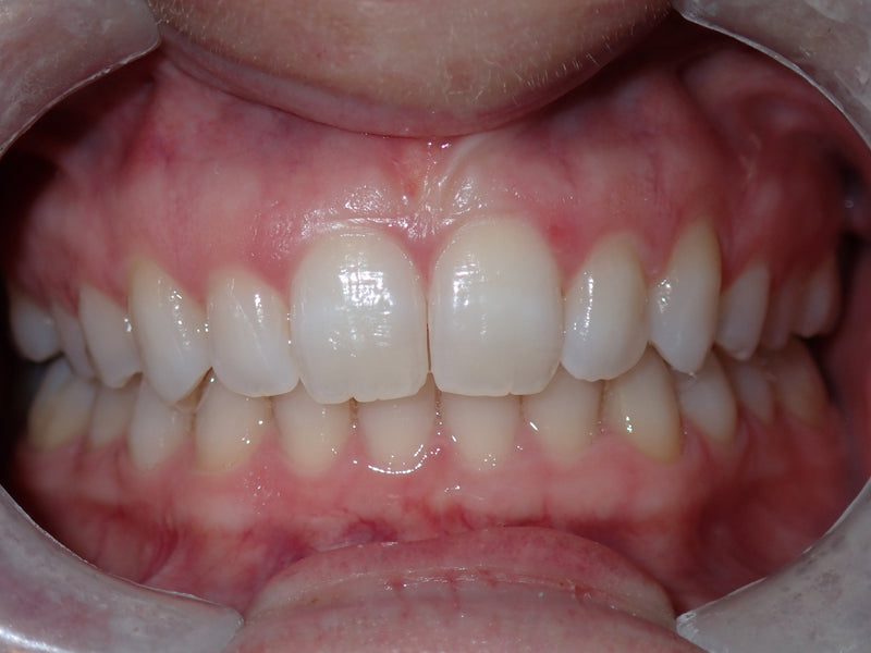
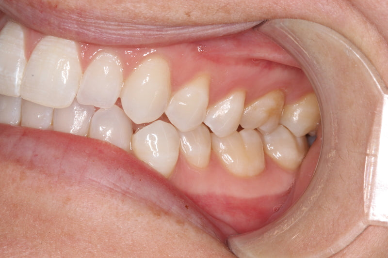
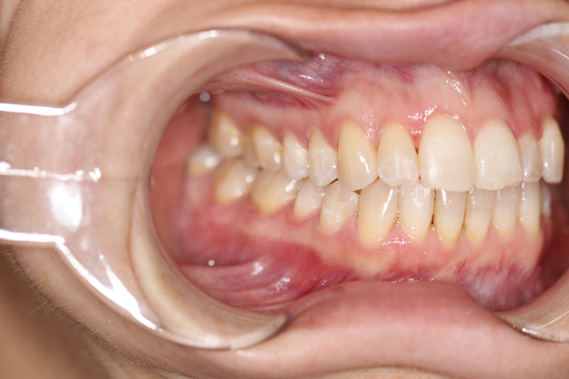
Misalignment: Crowding
Before
After“The aligners were easy to use and surprisingly effective. I love how straight my teeth are now and how much more confident I feel in photos.”










Age:
40
Diagnosis:
Crowding
Treatment Length:
12 months
Attachments:
Yes
IPR:
Yes
Type:
3 Appointments + Fully Remote Monitoring
Refinements:
No














